秋田県大仙市にある歯科医院 タケダ歯科クリニック 秋田市/北秋田市/仙北市/横手市からも患者様がいらっしゃいます インプラント ホワイトニング
お問い合わせ Phone 0187-62-6480 home sitemap
   
  インプラントとは
  インプラント治療の流れ
  治療宿泊プログラム
  インプラント治療例
  インプラント治療費
 
  審美歯科とは
  審美歯科治療の流れ
  ホワイトニング
  審美歯科治療例
   
  タケダ歯科秋田矯正インプラントクリニック
  タケダ歯科盛岡矯正インプラントクリニック
  ヒロデンタルラボラトリー
   
 
 
 
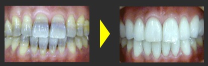
  実際に審美歯科治療を施術したいくつかの症例をご紹介いたします。
是非、ご参考にしてください。
歯の表面を削り薄いセラミックの板を表面に貼付けます。
遺伝的にホワイトニングだけでは白い歯にならない場合や、歯の形態を 直したい時に、歯の表層を少し削り、セラミックを貼る方法です。治療期間は2回程度の通院で済み、材質はセラミック(ポーセレン)ですから、歯ぐきにもやさしく、磨耗や変色の心配もありません。
 

小さな虫歯の場合、その悪くなった部分だけを取り除き、その穴をきれいに形成した上で人工材料の詰め物をおこなうことをインレー法と言います。
インレー法で使う詰め物には、従来金属が使用されていましたが、審美性を高めるためセラミックを使用するセラミック・インレー法が開発されました。金属とちがい天然歯に合わせたカラーリングが可能なので、美しく自然な仕上がりが期待できます。

 
タケダ歯科秋田矯正インプラントクリニック
 
インプラントとはインプラント治療の流れ治療宿泊プログラムインプラント治療例 |
審美歯科とは審美歯科治療の流れホワイトニング 審美歯科治療例LINKお問い合わせ
Copyright(c) 2004 HIRO DENTAL PRODUCE All Rights Reserved.